...
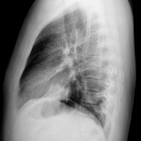
Silhouette Sign, LLL Pneumonia (Lateral CXR) [2 of 2]
Page 84:
Silhouette Sign, LLL Pneumonia (Lateral CXR) [2 of 2]


Lines
Lines and Labels
Mouse-Over: