...
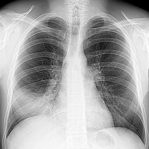
Silhouette Sign, RML Pneumonia (PA CXR) [1 of 4]
Page 85:
Silhouette Sign, RML Pneumonia (PA CXR) [1 of 4]


Lines
Lines and Labels
Mouse-Over: