...
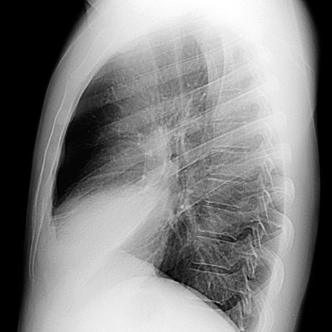
Silhouette Sign, RML Pneumonia (Lateral CXR) [2 of 4]
Page 86:
Silhouette Sign, RML Pneumonia (Lateral CXR) [2 of 4]


Lines
Lines and Labels
Mouse-Over: