...
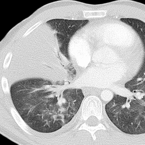
Silhouette Sign, RML Pneumonia (Chest CT) [3 of 4]
Page 87:
Silhouette Sign, RML Pneumonia (Chest CT) [3 of 4]


Lines
Lines and Labels
Mouse-Over: